Ir para o conteúdo
  • Home
  • Quem somos
  • Serviços
  • Planos
  • Contato
  • Home
  • Quem somos
  • Serviços
  • Planos
  • Contato
ENTRAR

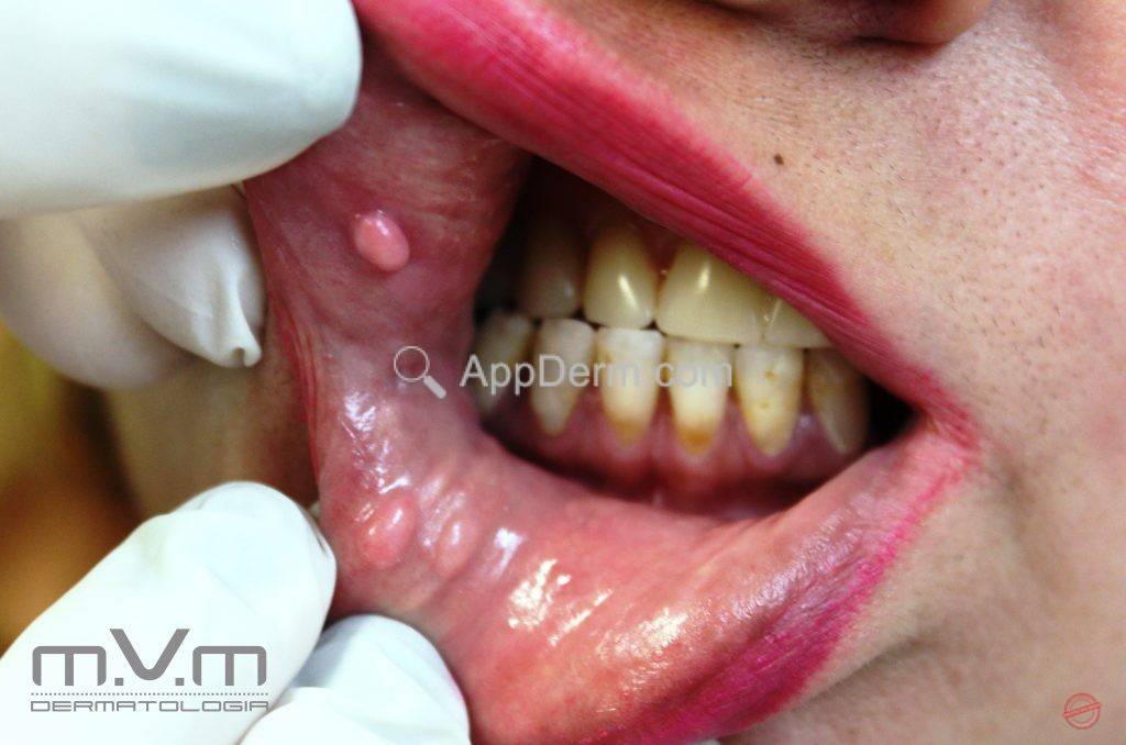
Doencas: Doença de Heck

Doença de Heck (hiperplasia epitelial focal)

Doença causada pelo papiloma vírus humano (HPV), subtipos 13 ou 32.AppDerm®

AppDerm

Apresentamos o AppDerm, o aplicativo 100% responsivo que revoluciona a maneira como você estuda

Descubra o fascinante mundo da dermatologia com o mais completo e detalhado atlas disponível no Brasil. Aprenda e aprimore suas habilidades conosco. Estamos aqui para apoiá-lo em cada passo da sua jornada dermatológica.

Assinar

“O conteúdo técnico deste aplicativo, website, imagens e marcas constituem propriedade intelectual, estando protegidos pela Lei de Direitos Autorais (9.610/98). A cópia ou reprodução não autorizada configuram ilícitos civil e penal, sujeitando o infrator às penas legais.”

Dr. Marcel do Valle Moreira
Dermatologista
CREMERS: 30.491 / RQE: 35.790

Facebook Instagram
ENTRAR